Tu salud en buenas manos
Concejo de Sarriguren 22, bajo.
31016 Mendillorri (Pamplona)
948 268 805 / 609 474 654
fisio@ana-jimenez.com
TwitterLinkedinGoogle Plus

noticias nacionales

[ volver ]

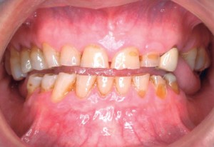
El bruxismo puede dañar los implantes dentales a causa del permanente desgaste de las piezas (30/03/2015)

El bruxismo (rechinar de dientes) debe diagnosticarse antes de colocarse un implante, ya que puede entrañar complicaciones mecánicas que pongan en riesgo las piezas, según una revisión de estudios del Instituto Dental ImplanT, con motivo del Día Mundial de la Salud Bucodental, que tuvo lugar el pasado 20 de marzo.

Una investigación publicada en la prensa científica asegura que hay una relación directa entre el bruxismo y el fallo del implante. “Las prótesis en los bruxistas tienen un porcentaje de fallo mayor que en los no bruxistas. Por tanto, se podría sugerir que el bruxismo es un factor que causa complicaciones técnicas y biológicas y juega un papel importante en el fallo del implante”, se asegura en esta investigación.
 
Otro estudio anterior concluye que el bruxismo no implica complicaciones biológicas para el implante, pero, en cambio, lo relaciona con disfunciones mecánicas que pueden dañar dichas prótesis.
 
“El bruxismo produce un impacto continuado en los dientes e implantes que puede causar la fractura en la pieza dental o incluso el fallo de los mismos”, destaca el doctor Rodrigo Martínez Orcajo, director del Instituto Dental ImplanT.
 
Entre el 30 y el 50% de la población mundial, adolescente y adulta, padece bruxismo según datos de la sección odontológica de la Organización Mundial de la Salud (OMS). “Es habitual que pasen años hasta que el bruxista acude al dentista, ya que no es consciente de que lo es, y eso, habitualmente, no ocurre hasta que alguien del entorno oye el rechinar de dientes, se detectan desgastes, comienzan los dolores o la mandíbula se bloquea. El paciente suele tener mucha sensibilidad dental porque se erosiona el esmalte y queda expuesta la dentina”, en palabras del doctor Martínez Orcajo.
 
Sin embargo, el especialista añade que “también pueden aparecer otros síntomas como dolor en la mandíbula, en los oídos o cefalea, trastornos del sueño e incluso bloqueos o disminución de la apertura bucal. Hay pacientes que se quedan con la boca abierta sin poderla ni abrir ni cerrar”. Por ello, este experto insiste en la importancia de solicitar diagnóstico y más de cara a una cirugía como la implantológica.
 
“Con una exploración clínica y un estudio radiológico (radiografías especiales de la articulación o resonancias) se puede confirmar el diagnóstico y tratar de solucionarlo, sobre todo si se va a realizar un implante”, resalta.
De otro modo, no sólo se pone en peligro las nuevas piezas dentales sino que pueden producirse problemas mandibulares, como el síndrome de la articulación temporomandibular (ATM).
 
Una vez diagnosticada este trastorno se suele recomendar el uso de una férula de descarga que puede ser utilizada durante la noche.
 
Este tipo de tratamiento ha demostrado ser eficaz para devolver la calidad de vida al paciente. Según un estudio reciente, quienes utilizan la férula, un 75% de la muestra del estudio, aseguran haber mejorado su salud bucodental.
 
El estrés y la ansiedad son causas directas del bruxismo, según diversos estudios. Por este motivo, se ha incrementado el número de personas que lo sufren a consecuencia de estas situaciones, siendo mucho más frecuente en las mujeres que en los hombres.
Compartir