Tu salud en buenas manos
Concejo de Sarriguren 22, bajo.
31016 Mendillorri (Pamplona)
948 268 805 / 609 474 654
fisio@ana-jimenez.com


31016 Mendillorri (Pamplona)
948 268 805 / 609 474 654
fisio@ana-jimenez.com


noticias internacionales
[ volver ]
![]() |
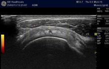
Participación española en un curso europeo sobre Ecografía Músculo-esquelética (03/10/2014)El doctor José Miguel Senabre, reumatólogo del Departamento deSalud de la Marina Baixa, ha participado recientemente en el 21 Curso de la Sociedad Europea de Reumatología (EULAR) sobre Ecografía Músculo-esquelética, celebrado en París.
El curso, en el que han participado más de 180 profesionales de todo el mundo, 7 de ellos españoles, ha contado con los principales expertos internacionales en este campo y tiene como objetivo continuar con la formación en el uso de esta técnica, que ha crecido de forma exponencial en las últimas décadas.
Además, como explica el doctor Senabre, “esta técnica ha demostrado gran utilidad en la evaluación de pacientes con artritis reumatoide, artritis de la temporal, gota o patologías de partes blandas como la tendinitis o el síndrome de túnel carpiano, entre otras enfermedades”.
En este sentido, su utilidad depende en gran medida de la habilidad y el entrenamiento del profesional sanitario que la realiza, por lo que es importante que se realicen cursos de formación continuada en este campo.
Así, durante 2013, la sección de Reumatología del Departamento de Salud realizó 979 ecografías, como prueba diagnóstica.
|
| Compartir |
|
